健康讲堂

引导页 / 医学教研 / 健康宣教 / 健康讲堂 / 正文

肠重复畸形是有两套肠管吗?

日期:2021-03-03 作者:普外二科 点击:

有一次在门诊出诊期间,一位家长抱着十个月的宝宝来就诊,她家宝宝在做彩超体检时,发现体内多了一部分肠子,当地医生告诉她说是娃娃得了一种病叫肠重复畸形。家长特地来普外二科门诊想弄明白是怎么一回事,是不是体内多了一部分肠子是好事情?

  实际情况是这样的吗?今天普外二科陈东医生专门来说说小儿肠重复畸形这种病。
undefined

肠重复畸形是指在小肠的近系膜侧出现的一种圆形或管状结构的空腔器官,与其毗邻的小肠有相同的组织结构,其血液供应亦非常密切。是小儿常见的先天性畸形,可以发生在口腔到肛门的任何部位,以小肠多见,最常见于回肠。有的患儿伴有腹痛、呕吐、腹部包块等临床表现,还有部分小孩无任何症状,多在健康体检中发现。
undefined 上图为肠重复畸形可能出现的部位


一、发病原因及发病机制
肠重复畸形的病因有多种学说,但每种学说均不能全面解决在各个部位重复畸形发生的原因,其病因可能是多源性的,不同部位及不同病理变化的病因可能不同。
小肠重复畸形具有发育正常的消化道组织结构。大多数畸形与所依附的主肠管融合成一共同的肌壁,享有共同的浆膜、肠系膜和血液供应,但具有独立、相互分隔或有交通的黏膜腔。少数畸形有单独的系膜和血管支。小肠重复畸形腔内多衬以主肠管的肠黏膜,20%~35%为异位消化道黏膜或呼吸道黏膜。异位黏膜中以胃黏膜最多见,偶见同时含有2种以上的异位黏膜。80%重复畸形黏膜腔与主肠管互不交通,腔内积蓄黏膜分泌液,形成圆形或卵圆形囊肿。

undefined

上图为肠镜检查发现的肠重复畸形,其中一端和肠管相通


二、肠重复畸形的诊断
当患儿有反复腹痛、便血、腹部包块或原因不明的肠梗阻时应考虑肠重复畸形。根据不同病变部位,联合多种检查手段,一般可以明确诊断。
1、彩超检查:彩超可以判断肠重复畸形的部位、大小和性质,了解囊肿内有无分泌物充盈,以及囊肿和消化道的相互关系。

undefined

上图为肠重复畸形的彩超检查,可见近回盲部有一囊性包块

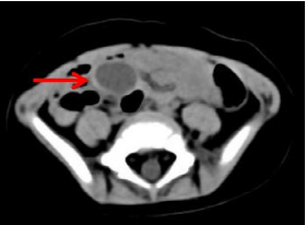
2、CT检查:对于囊肿型肠重复畸形,CT表现有一定特征性:可见紧贴消化道的类圆形囊状低密度影,囊腔张力高,边缘清晰,边缘清晰,部分囊壁呈分层状,内层密度稍低,外层稍高,呈“晕轮征”;增强后囊壁均匀强化,“晕轮征”显示更加清楚。

undefined

上图为肠重复畸形的CT平扫,可见一囊肿(红色箭头所指)

3、同位素异位胃黏膜检查:约25%-30%肠重复畸形含有异位胃黏膜,同位素99mTcO-4腹部显像对异位胃黏膜的明确诊断有独到的优势,但阳性率相对较低。


三、肠重复畸形的治疗
针对肠重复畸形,外科手术是唯一能够根治的办法。如果不治疗的话,患儿可能会出现出血、腹痛及肠梗阻等情况,虽然肠重复畸形在小儿为良性疾病,但于成年期可发生癌变,所以一旦诊断明确,应尽早手术治疗。1、孤立的囊肿型畸形,可以完整的行畸形肠管的切除。2、若肠重复畸形的肠管与正常肠管粘连紧密,此时需要将正常肠管与畸形肠管一并切除,避免造成畸形肠管的残留反复发作。

undefined

上图为手术切除的肠重复畸形


所以,肠重复畸形并不是有两套肠管,虽然多了一部分肠管,但并不是一件好事情,还是需要手术解决。

undefined